Jak zabránit vzniku tetracyklinových zubů a jak je v roce 2026 efektivně odstranit

17

dubna

Kalkulačka rizika tetracyklinového zbarvení

Výsledek analýzy:

Představte si, že vaše děti mají zuby, které nejsou bílé, ale mají trvale šedé, hnědé nebo žluté pruhy. Není to způsobeno špatnou hygienou, ale lékem, který dostaly už před deseti lety. Tohle je realita u lidí s takzvaným tetracyklinovým zbarvením. Je to jedna z těch situací, kde chyba v dávkování nebo nevhodná volba léku v kritickém období zanechá stopu na celý život. Dobrou zprávkou je, že dnešní medicína už přesně ví, jak tomu předйти a jak takové zuby vrátit k přirozené barvě.

Klíč k prevenci: Kdy jsou antibiotika nebezpečná?

Nejdůležitější pravidlem je, že tetracyklinové zuby je stav permanentního zbarvení zubní skloviny a dentinu způsobený vázáním tetracyklinu na vápník v tkáních zubů během jejich vývoje. Problém nastává hlavně v období, kdy se zuby teprve tvoří. To znamená, že kritická je doba od početku těhotenství až do osmého roku života dítěte. Pokud v tomto okně dostane těhotná žena nebo malé dítě léky z tetracyklinové skupiny, antibiotikum se pojí s vápníkem a vytváří komplexy, které se ukládají přímo do struktury zubu. Výsledek? Zuby, které už od narození nebo vyklíčení mají tmavé pruhy. Chcete se vyhnout tomuto problému? Zde je jednoduchý postup:
  • Nikdy nepředepisujte a nepodávejte dětem do 8 let antibiotika ze skupiny tetracyklinů, pokud není řeč o extrémně specifickém případě, který schválil specialista.
  • Pokud jste těhotná, informujte lékaře o všech létech, které užíváte. Tetracykliny mohou proniknout přes placentu a ovlivnit i budoucí zuby plodu.
  • Vždy se ptejte: „Existuje pro tuto infekci bezpečnější alternativa?“ Většina běžných bakteriálních infekcí u dětí lze dnes vyřešit léky, které s barvou zubů absolutně nepracují.

Jak poznat, že jde o tetracyklinové zbarvení?

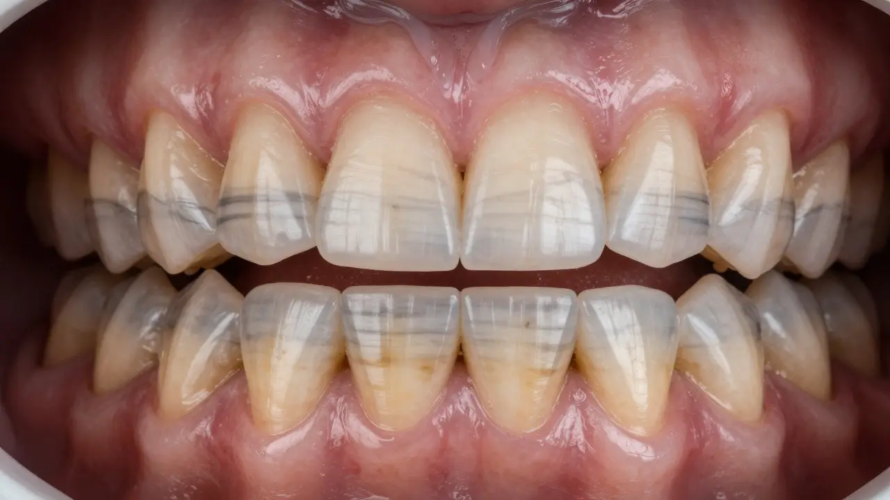
Není každý žlutý zub výsledkem antibiotik. Tetracyklinové zbarvení má své specifické znaky. Typicky nejde o rovnoměrnou barvu, ale o horizontální proužky nebo skvrny. Barvy se pohybují od jasně žluté přes šedou až po tmavě hnědou. Na rozdíl od povrchového nánosu kávy nebo cigaret se toto zbarvení nachází hluboko v tkáni zubu. Pokud si všimnete, že zuby vašeho dítěte mají při vyklíčení zvláštní odstín, který neodpovídá genetice rodiny, nečekejte. Běžné bělící pasty zde nezaberou, protože bojujete s vnitřní strukturou zubu, ne s povrchem. V takovém případě je nutná návštěva stomatologa, který pomocí rentgenu a anamnézy (historie užitých léků) potvrdí diagnózu. Detailní pohled na zuby s typickými šedo-žlutými vodorovnými pruhy.

Alternativy k tetracyklinům: Co je bezpečnější?

Tetracyklin je sice účinný širokospektrální lék, ale v moderní pediatrii je nahrazován bezpečnějšími variantami. Pokud hledáte alternativy, které nezpůsobují změnu pigmentace, lékaři dnes častěji volí jiné skupiny léků.
Srovnání tetracyklinů s běžnými alternativami v pediatrii
Vlastnost Tetracykliny Peniciliny / Cefalosporiny Makrolidy (např. Azitromycin)
Vliv na barvu zubů Vysoký (riziko pruhů) Žádný Žádný
Vhodné pro děti do 8 let Nevhodné / Kontraindikováno Velmi vhodné Vhodné
Hlavní riziko Hypoplazie skloviny, zbarvení Alergické reakce Žaludeční potíže
Jak vidíte z tabulky, existuje dostatek možností, jak léčit infekce, aniž byste riskovali estetický handicap dítěte na celý život. Dnešní standardy péče v České republice jsou velmi přísné a tetracykliny se u dětí v běžné praxi téměř nepředepisují právě kvůli těmto vedlejším účinkům.

Co dělat, když už zbarvení nastalo? Metody opravy

Pokud už máte za sebou období užívání těchto léků a vaše zuby vypadají jako z hororového filmu, nezoufejte. V roce 2026 máme k dispozici technologie, které dokáží i ty nejodolnější pigmenty zmizet. Klasické domácí bělení z drogerie ale zapomeňte - to v tomto případě nefunguje, protože pigment je uvnitř zubu. Zde jsou nejúčinnější metody, které dnes stomatologické kliniky nabízejí:
  1. Profesionální vnitřní bělení: Pokud jsou zuby mrtvé nebo vyžadují endodontickou péči, lékař může aplikovat bělící gely přímo do kanálků zubu. To je mnohem efektivně mysterious než povrchové bělení.
  2. Kombinované chemické bělení: Používají se vysokokoncentrované peroxidy, které pronikají hluboko do dentinu. U tetracyklinů je často potřeba několik cyklů, protože barviva jsou silně vázána na vápník.
  3. Kompozitní bonding: Pokud není bělení dostatečně účinné, lékař nanese na povrch zubu tenkou vrstvu kvalitní pryskyřice (kompozitu), která zakryje tmavé skvrny. Je to rychlé, bezbolestné a vypadá to velmi přirozeně.
  4. Ceramické fasety: Tohle je „zlatý standard“. Fasety jsou tenké keramické pláštíky, které se přilepí na přední plochu zubu. Jsou prakticky nerozeznatelné od skutečných zubů a jsou nejtrvalějším řešením pro těžké případy zbarvení.
## Rozdíl mezi povrchovým a hloubkovým zbarvením Je důležité pochopit, proč běžné bělící pasty u tetracyklinových zubů selhávají. Představte si to jako skvrnu na bílém tričku. Pokud je skvrna jen na povrchu, stačí ji vyprat. Ale pokud je barva vpletena přímo do vláken látky během výroby trička, žádný prášek ji nedostane. Sklovina je vnější tvrdá vrstva, zatímco dentin je vnitřní, porézní část zubu. Tetracykliny pronikají až do dentinu. Proto musí moderní metody bělení pracovat s chemickou reakcí, která „rozbije“ vazbu vápníku a barviva hluboko uvnitř, nebo zbarvený zub zcela zakryjí novou vrstvou materiálu. Srovnání zubů před a po aplikaci keramických faset pro odstranění zbarvení.

Praktické tipy pro rodiče a pacienty

Pokud máte pocit, že vaše zuby nebo zuby vašeho dítěte mají anomální barvu, nezkoušejte žádné „domácí recepty“ s citrónovou šťávou nebo sodou. Tyto látky jsou kyselé a abrazivní, což znamená, že odlepí povrchovou sklovinu a vnitřní zbarvení bude paradoxně ještě vidět více, protože zub bude průsvitnější. Namísto toho postupujte takto:
  • Zkontrolujte staré lékařské zprávy. Hledejte názvy jako tetracyklin, doxycyklin nebo minocyklin.
  • Nezapomeňte, že prevence je levnější než oprava. Jedna sada faset na přední zuby může stát desítky tisíc korun, zatímco správně zvolené antibiotikum v dětství stojí pár set.
  • Pokud užíváte antibiotika v těhotenství, vždy řekněte lékaři, že prioritou je zdravý vývoj plodu, včetně jeho zubů.

Budoucnost v péči o zbarvené zuby

Medicína se posouvá směrem k laserovým technologiím, které dokážou cíleně rozkládat pigmenty bez nutnosti agresivní chemie. I tak se ale vracíme k základům: správná diagnóza včas a zodpovědné používání léků. Tetracykliny jsou skvělé léky na určité typy infekcí, ale jejich použití u dětí je dnes v podstatě anachronismus.

Může se stát, že tetracyklinové zbarvení zmizí samo od sebe?

Bohužel ne. Jakmile se tetracyklin vázal na vápník během tvorby zubu, stává se součástí jeho struktury. Zbarvení je permanentní a jedinou cestou k jeho odstranění je profesionální stomatologický zásah.

Jsou všechny antibiotika stejně nebezpečná pro barvu zubů?

Vůbec ne. Většina běžně používaných antibiotik, jako jsou peniciliny nebo cefalosporiny, nemá na pigmentaci zubů žádný vliv. Problém je specifický právě pro tetracyklinovou skupinu a její deriváty.

Kdy je nejbezpečnější doba pro podání tetracyklinů dětem?

Obecně se doporučuje vyhnout se těmto lékům u dětí do 8 let. V tomto věku probíhá intenzivní mineralizace mléčných i trvalých zubů, což je období nejvyšší náchylnosti k zbarvení.

Pomáhá u těchto zubů běžné bělení z lékárny?

Domácí bělení bývá u tetracyklinových zubů velmi neúčinné. Protože barva není na povrchu, ale v hloubce zubu, jsou potřeba silnější koncentrace peroxidů a odborný dohled lékaře, aby nedošlo k poškození skloviny.

Jaké je nejtrvalejší řešení pro velmi tmavé zuby?

Za nejtrvalejší a esteticky nejúspěšnější řešení jsou považovány keramické fasety. Ty zuby zcela zakryjí a poskytnou přirozený vzhled, který vydrží při správné péči mnoho let.