Zubní Lékař Olomouc
  • Broušení korunky
  • Péče o implantát
  • Bílá plomba
  • Vytržení zubu

Tag: domácí prostředky pro zuby

Zubní kámen u dětí: Jak ho odstranit přirozenými způsoby

4

března

Zubní kámen u dětí: Jak ho odstranit přirozenými způsoby

  • Kategorie: Zdraví a Zubní Péče
  • Komentáře: 0

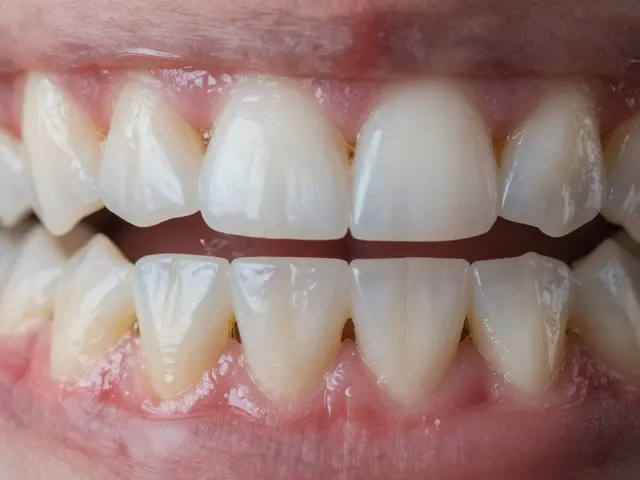
Zubní kámen u dětí není jen estetický problém - může vést k zánětům a ztrátě zubů. Zjistěte, jak přirozené metody jako ocet, kvasný prášek, zelený čaj a olejové pláchnutí pomáhají odstranit a předcházet kameni bez chemie.

Nedávné příspěvky

  • Prasklý kořen zubu - jak rozpoznat příznaky a co dělat dál 11 říj 2025

    Prasklý kořen zubu - jak rozpoznat příznaky a co dělat dál

  • Jak zvládnout výměnu gumiček na rovnátka: Uživatelský průvodce 4 čec 2024

    Jak zvládnout výměnu gumiček na rovnátka: Uživatelský průvodce

  • Co se stane, když zanedbáte mezizubní prostor? Pravda o plaku a zubu 18 dub 2026

    Co se stane, když zanedbáte mezizubní prostor? Pravda o plaku a zubu

  • Co se stane, když nezaplatíte poplatek v zubní pohotovosti v Praze? 29 lis 2025

    Co se stane, když nezaplatíte poplatek v zubní pohotovosti v Praze?

  • Jak hydratovat zuby a předcházet sucho ústní dutiny při bělení 16 úno 2026

    Jak hydratovat zuby a předcházet sucho ústní dutiny při bělení

Kategorie

  • Zdraví a Zubní Péče (177)
  • Zdraví a wellness (32)
  • Zdraví a životní styl (7)
  • Dentální péče (7)
  • Zdraví a hygiena (5)
  • Zdraví a Krása (5)
  • Zdraví a krása (4)
  • Zdraví (4)
  • Zdraví a péče o tělo (3)
  • Zdraví a medicína (2)

Oblíbené značky

ústní hygiena zubní kámen bělení zubů dentální hygiena zubní hygiena zubní lékař čištění zubů ortodoncie zubní péče prevence bolest zubů zubní plak péče o zuby broušení zubů zubní kaz zubní fazety rovnátka zuby estetická stomatologie úsměv
Zubní Lékař Olomouc
  • O nás
  • Obchodní podmínky
  • GDPR
  • Kontakt
  • Zásady ochrany soukromí

© 2026. Všechna práva vyhrazena.